어린이 턱교정 시기, 언제 시작해야 할까요? 성장기의 골든타임을 놓치지 않기 위한 정확한 정보와 전문가의 팁을 확인하세요.

어린이 턱교정, 왜 시기가 중요할까?
턱은 키처럼 ‘뼈’입니다. 어릴 때 자라는 방향을 교정해줄 수는 있지만, 성장판이 닫히면 더 이상 자연적인 성장은 기대할 수 없습니다.
즉, 어린 시절에는 '유도'가 가능하지만 성인이 되면 '절개'나 '수술'이 필요해지는 것이죠.
또한 성장기에는 단순히 치열뿐 아니라 턱뼈 위치와 크기까지 조절할 수 있기 때문에, 적절한 시기에 교정하면 비대칭, 주걱턱, 무턱 등의 구조적 문제도 예방할 수 있습니다.



어린이 턱교정 시기, 전문가가 말하는 '골든타임'
1. 일반적인 시작 시기
많은 부모들이 가장 궁금해사는 부분이 바로 '시기'입니다.
전문가들은 보통 만 7세 전후를 초기 진단 시기로 추천합니다.
6세 ~ 7세: 앞니와 첫 번째 큰 어금니(영구치)가 나는 시기. 이때부터 정기적인 교정 검진을 시작하는 것이 좋습니다.
2. 초기 징후가 보일 경우
- 앞니가 반대로 물리는 반대교합
- 아래턱이 크고 앞으로 나오는 주걱턱
- 한쪽으로만 씹는 습관이 있는 안면비대칭
3. 성별에 따른 차이
- 여아: 초경 전에 (보통 만 9~11세)
- 남아: 보통 만 10~13세까지 조기 턱교정이 가능
연령대교정 포인트추천 조치
| 만 6~9세 | 골격 성장 점검 | 1차 교정 여부 판단, 정기 검진 |
| 만 10~12세 | 턱뼈 성장 급등기 | 적극적인 1차 턱교정 가능 |
| 만 13세 이상 | 영구치 완성 | 2차 교정 (치열 위주) 진행 가능 |
골든타임은 만 7~10세 사이입니다!
이 시기를 놓치면 성장이 고착되어 수술이 필요한 경우도 생깁니다.
시기가 되었다면 늦기 전 상담을 통해 확인해보세요.
시기를 놓치면 어떤 문제가 생기나요?
- 양악 수술 확률 증가 – 성장기를 지나면 턱뼈 성장이 멈춰, 구조 자체를 수술로 교정해야 할 수 있습니다.
- 심미적 문제 – 턱 돌출, 무턱, 비대칭이 얼굴형에 영향을 주며 자존감 저하로 이어질 수 있습니다.
- 기능적 문제 – 저작 기능, 발음, 호흡 문제(구호흡), 턱관절 통증 등 발생 가능
성장기 턱교정, 어떤 효과가 있나요?
- 위턱과 아래턱의 비정상적 성장 방향을 조절
- 얼굴의 좌우 비대칭 예방
- 양악 수술 가능성 감소
- 호흡과 발음 기능 개선
- 성인이 되었을 때 교정 기간 및 비용 절감



턱교정 시작 전에 체크할 3가지
| 항목 | 설명 |
|---|---|
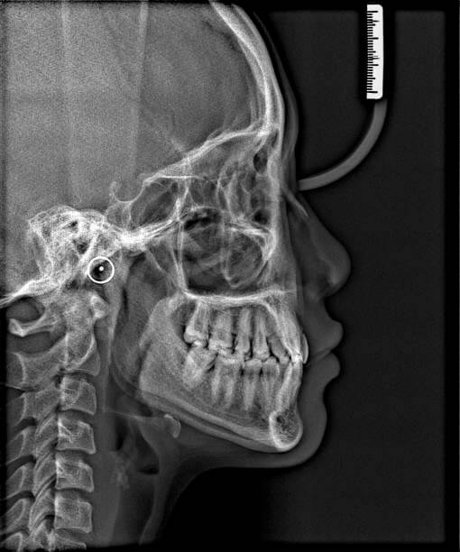
| 정밀검사 | 두부방사선 사진(Cephalo) 등을 통해 성장 방향 확인 |
| 성장 예측 | 남은 성장량, 골격 성장 패턴 예측 필수 |
| 전문의 상담 | 소아교정 전문의의 분석과 진단으로 방향 설정 |
부모가 해줘야 할 것: “시기를 놓치지 않는 관심”
어린이 턱교정의 80%는 “미리 알았으면 좋았을 텐데요…”라는 후회에서 시작됩니다.
- 정기적인 치과 방문 (6세부터 시작)
- 교정 전문 치과에서 성장검진
- 턱 위치, 발음, 습관에 대한 관찰
부모님의 빠른 관심과 선택이 아이 얼굴과 삶을 바꿀 수 있습니다.
지금이 바로 시작할 시기인지 확인해 보세요!
가까운 교정 전문 치과에서 정밀 검진을 받아보는 것부터 시작하세요.
어린이 턱교정의 골든타임은 단 한 번뿐입니다. 치아는 다시 날 수 있지만, 턱의 뼈는 한 번 자라면 되돌릴 수 없습니다.
성장기 때 시작하는 올바른 턱교정은 우리 아이의 얼굴형뿐 아니라 자신감 있는 삶까지 선물할 수 있습니다.
'교정' 카테고리의 다른 글
| 저소득층 치과지원 (청소년 교정치료 지원 포함)사업 신청방법 총정리 (2026 최신) (0) | 2026.04.16 |
|---|---|
| 치과 교정비용 연말정산 가능할까?20년차 치위생사가 알려주는 공제 기준부터 신청방법까지 완벽 정리! (0) | 2025.11.21 |
| 어린이 턱교정 실제 후기 | 초2 아들 교정 진단·비용·장치 착용 기록 (5) | 2025.08.30 |
| 턱교정 비용, 평균 얼마일까? 나이·치료별 가격 총정리 (3) | 2025.08.28 |
| 어린이 턱교정 잘하는 치과, 꼭 이렇게 고르세요! 선택 기준 총정리 (2) | 2025.08.27 |